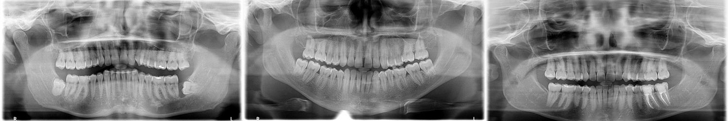
Zu den technischen Möglichkeiten unserer Praxis gehören neben herkömmlichen Detail- und Panorama-Röntgenaufnahmen auch die moderne digitale Volumentomographie. Das auch als digitales 3D-Röntgen bekannte Verfahren ist fortschrittliche Röntgentechnik, mit der wir hochauflösende dreidimensionale Aufnahmen aller Strukturen im Mund- und Kieferbereich anfertigen, in Minutenschnelle digitalisieren und am Computermonitor von allen Seiten betrachten können. Damit verfügen wir über ideale diagnostische Möglichkeiten und hervorragende Voraussetzungen für die Planung von Behandlungen.
So können wir uns im Vorfeld einer Wurzelkanalbehandlung ein klares Bild von Anzahl und Verlauf der Wurzelkanäle eines Zahns machen. Vor schwierigen Weisheitszahn-Extraktionen sind wir in der Lage, die anatomischen Verhältnisse im Kiefer, wie etwa den Verlauf von Nerven, zuverlässig zu beurteilen.

Bei der Planung von Implantationen können wir anhand von 3D-Aufnahmen die Breite und Höhe des Kieferknochens exakt vermessen und damit verlässliche Prognosen für Aufwand und Dauer der Behandlung abgeben. Digitales 3D-Röntgen ist eine günstigere, weniger aufwändige und gerade in der Zahnmedizin in vieler Hinsicht sogar überlegene Alternative zur Computertomographie. Einer ihrer aus Patientensicht wichtigsten Vorteile ist die bedeutend geringere Strahlenbelastung durch erheblich schnelleres Arbeiten mit dem fokussierten Röntgenkegel. Ein weiteres Plus: der Servicevorteil. Wir müssen Sie nicht an ein Röntgeninstitut überweisen, sondern führen die gesamte Diagnostik hier in der Ordination durch. Sie sparen sich zusätzliche Wege und Wartezeiten.
Die Aufnahmen sind unmittelbar verfügbar, können sofort ausgewertet werden – und wir können ohne Verzögerung mit der Behandlung fortfahren. Sollten Sie im Urlaub, nach Umzug oder aus anderen Gründen anderenorts eine Zahnbehandlung benötigen, können wir Ihre Befunde per E-Mail an unsere Kollegen übermitteln. Rufen Sie uns einfach an – wir versenden Ihre Bilder so schnell wie möglich. Die Bilddateien lassen sich mit der heute üblichen Praxissoftware von Arztpraxen oder Krankenhäusern normalerweise problemlos darstellen. So kann sich Ihr behandelnder Arzt rasch ein detailliertes Bild machen und in vielen Fällen auf eine weitere Röntgenaufnahme verzichten.





